Invisalign® Cases


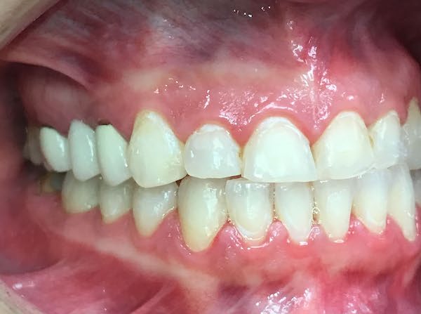
Yellow and Uneven Teeth


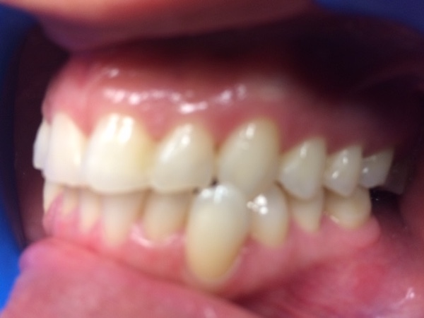
Deep Bite, Wear, and Crowding Teeth


Deep Bite, Crowding, and Uneven Teeth


Lower Crowding


Lower Crowding and #22 Crossbite


Lower Crowding and #22 Crossbite


Lower Crowding and Overbite


Deep Bite Midline Upper Space


Midline Diastema


Midlines Diastema and Open Bite


Midline Spaces – Age 14


Open Bite and Bucked Teeth


Missing Front Upper Tooth


Uneven Teeth
